La radiografía de tórax
La radiografía de tórax junto con la historia clínica y la exploración física, es la base en la que se sustenta el diagnóstico de la patología torácica. Sin embargo, se trata de una prueba cuya interpretación correcta es compleja, que requiere de una formación específica y una lectura sistemática.
Por que es importante siempre realizar también una radiografía lateral
Esto es debido a que hay que tener presente que en la placa PA el parénquima no acaba en los diafragmas, sino que se extiende bastante más caudal
Que debemos tener en cuenta a la hora de valorar una radiografía de tórax posteroanterior
A la hora de interpretar una placa debemos, en primer lugar, hacer una visión general de aspectos como: fecha de realización, sexo y edad del paciente, fijarnos en el tipo de proyección e investigar si existen estudios previos que nos puedan ayudar (como para ver si las alteraciones son agudas, crónicas, estables o no).
Hay una serie de factores a considerar para valorar que una proyección es técnicamente correcta:
Centralización: deben incluirse los capos pulmonares en su totalidad, desde espacio supraclavicular a hasta los senos costofrénicos. Deben visualizarse unos 5 cm de pulmón por encima de las clavículas y las escapulas deben proyectarse fuera del campo pulmonar.
Inspiración: Debemos contar el número de costillas visibles sobre pulmón hasta las cupulas diafragmáticas. En una proyección PA correctamente inspirada debemos poder contar hasta 6-7 arcos costales anteriores y 10-11 posteriores y los ángulos costo-diafragmáticos deben tener una morfología en pico.
PENETRACION: Debemos fijarnos en la técnica con que esta realizado el estudio, en una Rx correctamente penetrada la columna torácica debe de verse a través de la silueta cardiaca, pero solo deben insinuarse los espacios discales y no definirse completamente los cuerpos vertebrales.
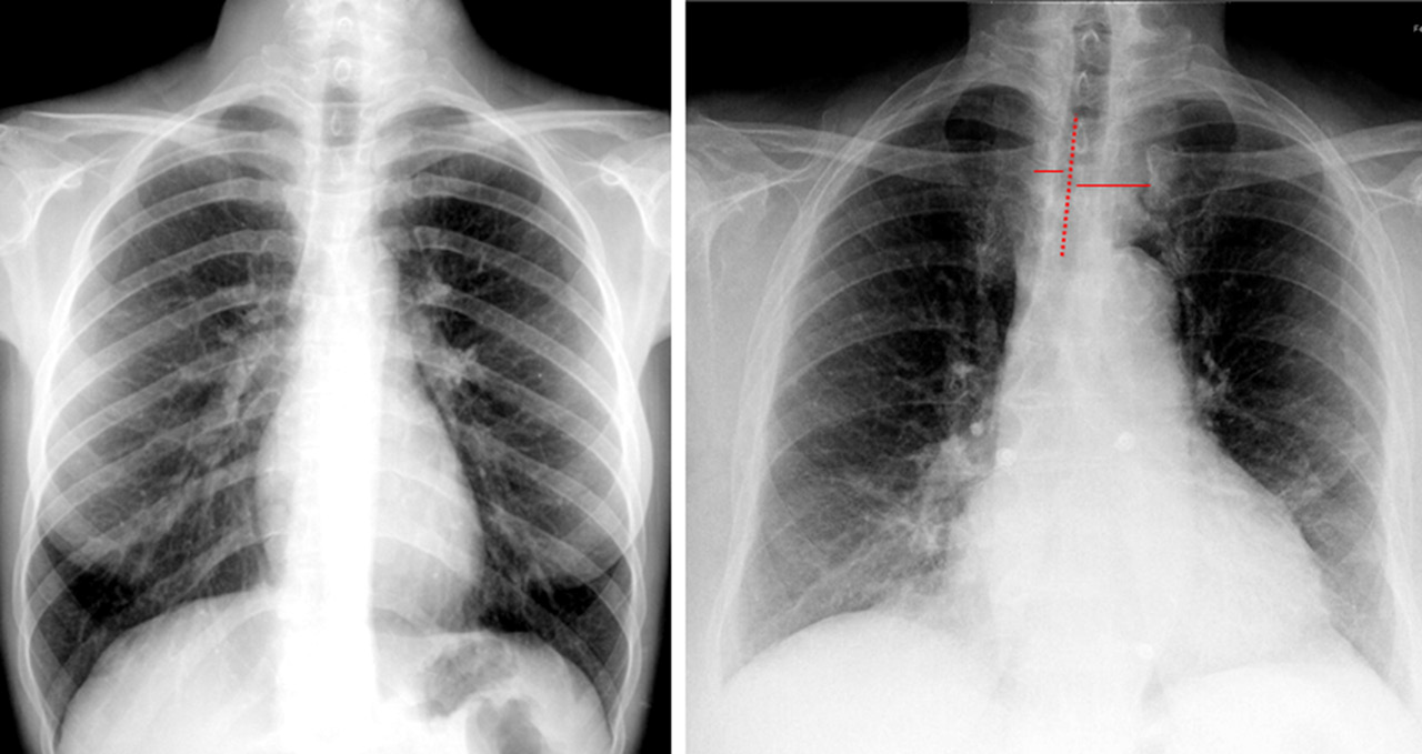
Rotación: La Rx debe estar centrada y para saberlo debemos observar las clavículas equidistantes respecto a las apófisis espinosas.
Angulación: La clavícula se proyecta sobre el tercer arco costal
Ausencia de movimiento: El diafragma y los senos costofrénicos deben verse perfectamente.
Ubicaciones anatomica en la Radiografia
Índice cardio torácico: A+B/C
Clasificación del aumento de la silueta cardíaca:
➢ Grado 1: 0.51-0.55
➢ Grado 2: 0.56-0.60
➢ Grado 3: 0.61-0.65
➢ Grado 4: >0.65
NOTA: El diagnostico de cardiomegalia debe realizarse por ecocardiograma, la radiografía nos da un indicio al evidenciarse un aumento de la silueta cardíaca.


0 Comentarios